Policiales

Fútbol 5 salvaje: jugador con doble fractura de mandíbula

Hay una denuncia y la Fiscalía requirió los videos del incidente. Se registró el jueves en Chasqui y Moreno. El relato del padre de la víctima. FUTBOL 5

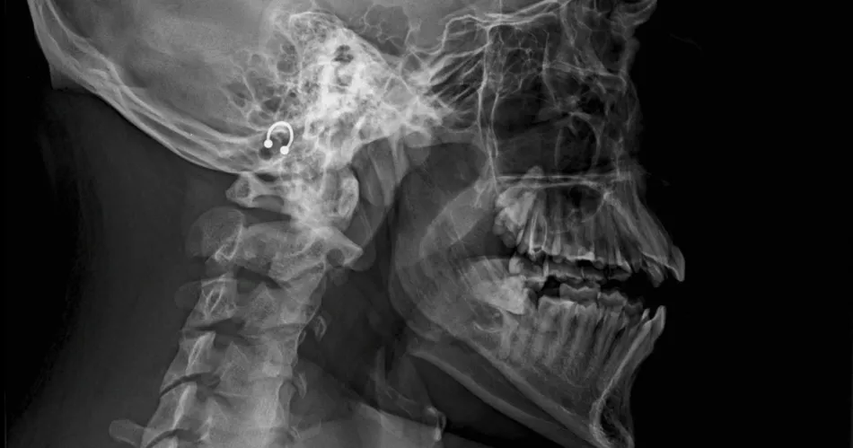
"Doble fractura de mandíbula con desplazamiento de piezas dentarias (comprometidas)". El diagnóstico corresponde a un joven que protagonizó un entredicho en una cancha de fútbol 5, ocasión en la que habría sido agredido por dos rivales, en especial uno de ellos que lo atacó de atrás.

La víctima es Marcos Valentín Bustamante, de 20 años, con residencia en el Bº Autonomía, según la denuncia interpuesta en la Seccional Tercera, causa a cargo del fiscal Ángel Belluomini.

En diálogo con EL LIBERAL, Hugo Bustamante (padre de Marcos) relató que el incidente sobrevino el jueves a las 19.45. "Mi hijo salió de trabajar y un amigo lo invitó a jugar en una cancha de calle Chasqui y Moreno. Marcos no conocía casi a nadie del equipo contrario", subrayó.

"En un momento surgió un incidente. Marcos me dijo que lo patearon sin pelota. En segundos, hubo empujones y forcejeos. Sé que surgió una pelea con uno de los rivales. Marcos recibió una trompada de frente, pero otro rival lo atacó de atrás a trompadas y lo fracturó", ahondó Hugo.

"Me contó que después, siguieron golpeándolo. Intervinieron amigos de su equipo y pudieron contenerlos. Sangrando, llevaron a mi hijo al Hospital Independencia. Lo asistieron, contuvieron la sangre, pero tiene doble fractura de mandíbula y debe ser intervenido quirúrgicamente", continuó.

"Gracias a la obra social, todo transcurre rápido. En un centro privado proyectan operarlo el 24 de noviembre. La prótesis tiene un valor económico alto, pero somos optimistas", acotó. "Mi hijo no come y tiene paralizada toda la mandíbula. Solo me dijo: "Me defendí, pero eran dos o tres...".

Mientras tanto, trascendió que la Fiscalía solicitó las cámaras de seguridad que existen en la mencionada cancha y que ya estarían identificados todos los protagonistas, por lo que no se descartan medidas judiciales.

Ir a la nota original

MáS NOTICIAS