Opinión

Mielofibrosis, una enfermedad tan rara como un año bisiesto

Por Haydee González, presidente de la Asociación Civil Linfomas Argentina (ACLA). OPINIÓN

Según datos de la Organización Mundial de la Salud (OMS), las enfermedades raras se definen por su baja incidencia, afectando a menos de 1 de cada 2.000 individuos. Se estima que entre 6.000 y 8.000 de estas condiciones han sido identificadas hasta el momento, afectando a aproximadamente el 8% de la población mundial, lo que equivale a unos 350 millones de personas. En Argentina, más de 3 millones de individuos se ven afectados por alguna enfermedad poco frecuente, lo que subraya la importancia de abordar este tema en el ámbito nacional.

Como metáfora de su excentricidad se eligió el 29 de febrero, día que solo se da cada cuatro años en años bisiestos, para conmemorar su día mundial de concientización; pero sin dejar de realizar acciones de difusión todos los años durante este mes. El propósito principal es generar conciencia y brindar apoyo a todas aquellas personas que enfrentan el desafío de vivir con una enfermedad poco común. Desde la detección temprana hasta el acceso oportuno a diagnósticos precisos, acompañamiento médico y tratamiento adecuado, la jornada tiene como objetivo fundamental garantizar que estos pacientes reciban la atención y el respaldo que merecen.

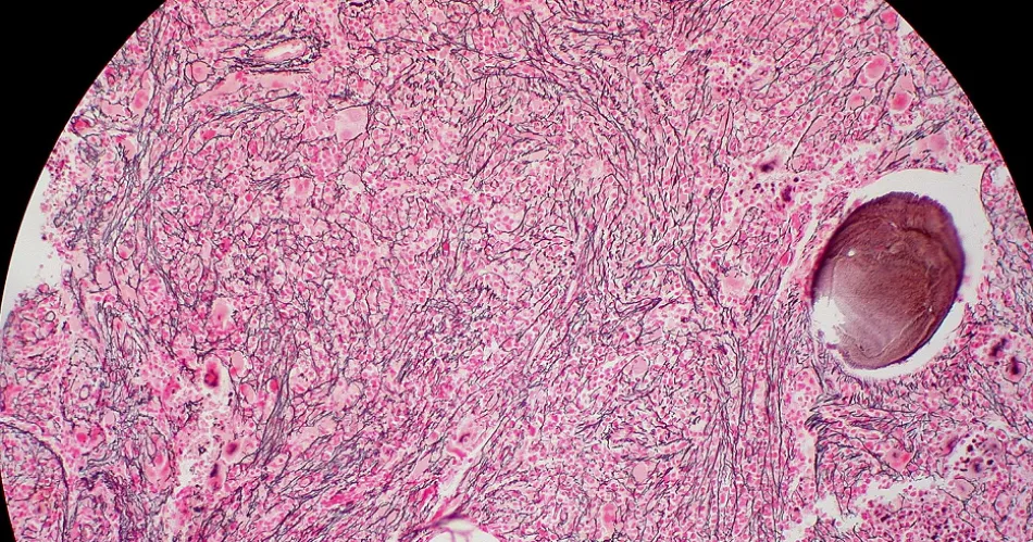
Un ejemplo de estas enfermedades es la mielofibrosis, una enfermedad poco frecuente de la medula ósea, caracterizada en etapas iniciales por la producción descontrolada de glóbulos rojos, glóbulos blancos y plaquetas. Con el tiempo el ambiente medular se va reemplazando por tejido fibroso impidiendo el correcto funcionamiento de las células madre productoras de las células de la sangre y así pudiendo producir anemia, predisposición a infecciones y sangrados. Los pacientes afectados, en general son personas mayores de 50 años. Actualmente, no se conoce fehacientemente la incidencia ni la prevalencia de la mielofibrosis en la Argentina. En general, los datos de otros países muestran que la enfermedad es poco frecuente.

En etapas tempranas los pacientes pueden tener solo alteraciones leves de laboratorio y si la enfermedad avanza suelen presentar síntomas como fiebre, pérdida de peso significativa, sudoración nocturna, anemia, cansancio extremo y, sobre todo, un agrandamiento considerable del bazo. Este aumento del tamaño del bazo se produce por el desplazamiento de células madre de la médula ósea a la sangre, desde donde colonizan órganos a distancia, fundamentalmente, el bazo y el hígado. Generalmente inicia en forma asintomática por lo que muchas veces se diagnostica luego de que la persona presenta valores anormales de laboratorio en un chequeo habitual de salud y puede evolucionar de forma muy lenta sin necesidad de tratamiento por muchos años.

Los pacientes llegan al hematólogo derivados por el médico clínico, quien observa algún indicador alterado en un análisis de rutina o el aumento del tamaño del bazo. El diagnóstico es clínico y se confirma mediante estudios genéticos y una punción de la médula ósea. Es de suma importancia un diagnóstico adecuado, en que se reconozca y piense en esta enfermedad. A veces, puede pasar que el paciente tenga una trombosis en los vasos abdominales o problemas de hipertensión portal y hemorragias digestivas como forma de presentación y lo que no se sabe es que en realidad tiene mielofibrosis.

El tratamiento se orienta a la necesidad clínica de cada paciente, hasta el momento, el único tratamiento que cura la enfermedad es el trasplante alogénico de médula ósea, pero es un muy riesgoso y agresivo, es indicado en pacientes jóvenes y con buen estado general, que además tienen que tener un donante de médula compatible para poder realizarlo. El objetivo del tratamiento es mejorar los síntomas del paciente, su calidad de vida y disminuir la posibilidad de que evolucione hacia una leucemia aguda. Otro tratamiento es el uso de medicamentos como Ruxolitinib y Fedratinib, los cuales han alcanzado objetivos clínicos muy significativos. Para los pacientes que tienen anemia o glóbulos blancos y plaquetas bajos, el abordaje de tratamiento puede ser complejo, a veces con necesidad de transfusiones, pero existen otras opciones y nuevas moléculas en desarrollo para el mejor cuidado de los pacientes con mielofibrosis. Es muy importante el manejo de cada paciente en forma individualizada con profesionales especializados en el tema.

Es crucial destacar también el desafío del acceso a los medicamentos para quienes padecen enfermedades pocos frecuentes. Muchas veces, los tratamientos específicos para estas condiciones son costosos y difíciles de obtener, lo que puede limitar seriamente la calidad de vida de los pacientes. En este sentido, es necesario un esfuerzo conjunto de gobiernos, industria farmacéutica y organizaciones de la sociedad civil para garantizar que todos los pacientes tengan acceso equitativo a los medicamentos y tratamientos necesarios para gestionar su enfermedad.

En el marco de esta jornada de concienciación, organizaciones como la Asociación Civil Linfomas Argentina (ACLA) se comprometen a apoyar a los pacientes afectados por la mielofibrosis, brindando recursos, información y acompañamiento para ayudar a enfrentar estos desafíos médicos y sociales.

Ir a la nota original

MáS NOTICIAS