Lo asaltaron y condujo con el cuchillo clavado hasta el hospital Lo asaltaron y condujo con el cuchillo clavado hasta el hospital
Un hombre sorprendió a médicos y personal del hospital Zatti, en Viedma, al llegar en su propio auto con un cuchillo clavado en la espalda.
Según las primeras informaciones, el hombre fue increpado por ladrones que lo apuñalaron. él, subió a su auto y condujo hasta el hospital, con el arma blanca en su cuerpo.
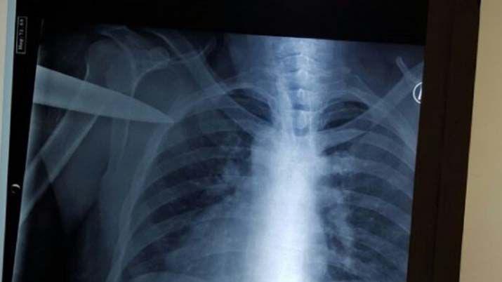
Al verlo, los médicos lo ingresaron y de inmediato le practicaron una placa para determinar la profundidad de la lesión y para chequear si había alguna herida de gravedad.
Te recomendamos: Vinculan a Carlos Roldán, como supuesto socio del "clan Ale" en el lavado de activos
Por fortuna, el cuchillo no tocó ningún órgano vital. Luego fue intervenido quirúrgicamente y los médicos le extrajeron el puñal. A las pocas horas, fue dado alto.








