Qué es y cómo se trata el hematoma subdural diagnosticado a González García Qué es y cómo se trata el hematoma subdural diagnosticado a González García
El ministro de Salud de la Nación, Ginés González García, ingresó este miércoles en el Sanatorio Otamendi de la Ciudad Autónoma de Buenos Aires. Luego de realizarle estudios, los médicos le diagnosticaron un hematoma subdural.
Al respecto el doctor Cristian Fuster, destacado neurocirujano (MN 99838) argentino y además quien operó con éxito a la doctora Cristina Fernández de Kirchner, en 2013, del hematoma craneal que la aquejara, explicó sin certificar de manera concluyente el diagnóstico que recibió el titular de la cartera de Salud de la Nación.

"Lo primero que hay que decir sobre el hematoma subdural es que puede ser agudo o crónico, este último fue el caso de la doctora de Kirchner, a partir de que se le presentó un cuadro de cefalea, se le realizaron estudios neurológico, resultando el diagnóstico de colección subdural crónica. Un punto importante para evaluar el cuadro es el tipo de síntomas, si se trata de cefaleas, de convulsiones, de trastornos de movilidad. Estos determinarán en algún punto también la gravedad del cuadro”.
Agregó Fuster: “No todos los hematomas subdurales son quirúrgicos. Los crónicos están más asociados a los adultos mayores. Es indispensable evaluar el estado clínico del pacientes en su totalidad: un hematoma subdural menor a 1 centímetro requiere de una conducta expectante. Si da muchos síntomas, en general se toma la conducta de operar. Hay que saber que de los hematomas subdurales que se operan, en el 30% ocurre un resangrado; además de saber que siempre una cirugía de cerebro conlleva un riesgo. Sepamos que el hematoma subdural es una vena que se aloja entre el cerebro y la duramadre, y una intervención quirúrgica para extraerla requiere una internación en terapia intensiva, que en este tiempo de pandemia es una complicación adicional”.

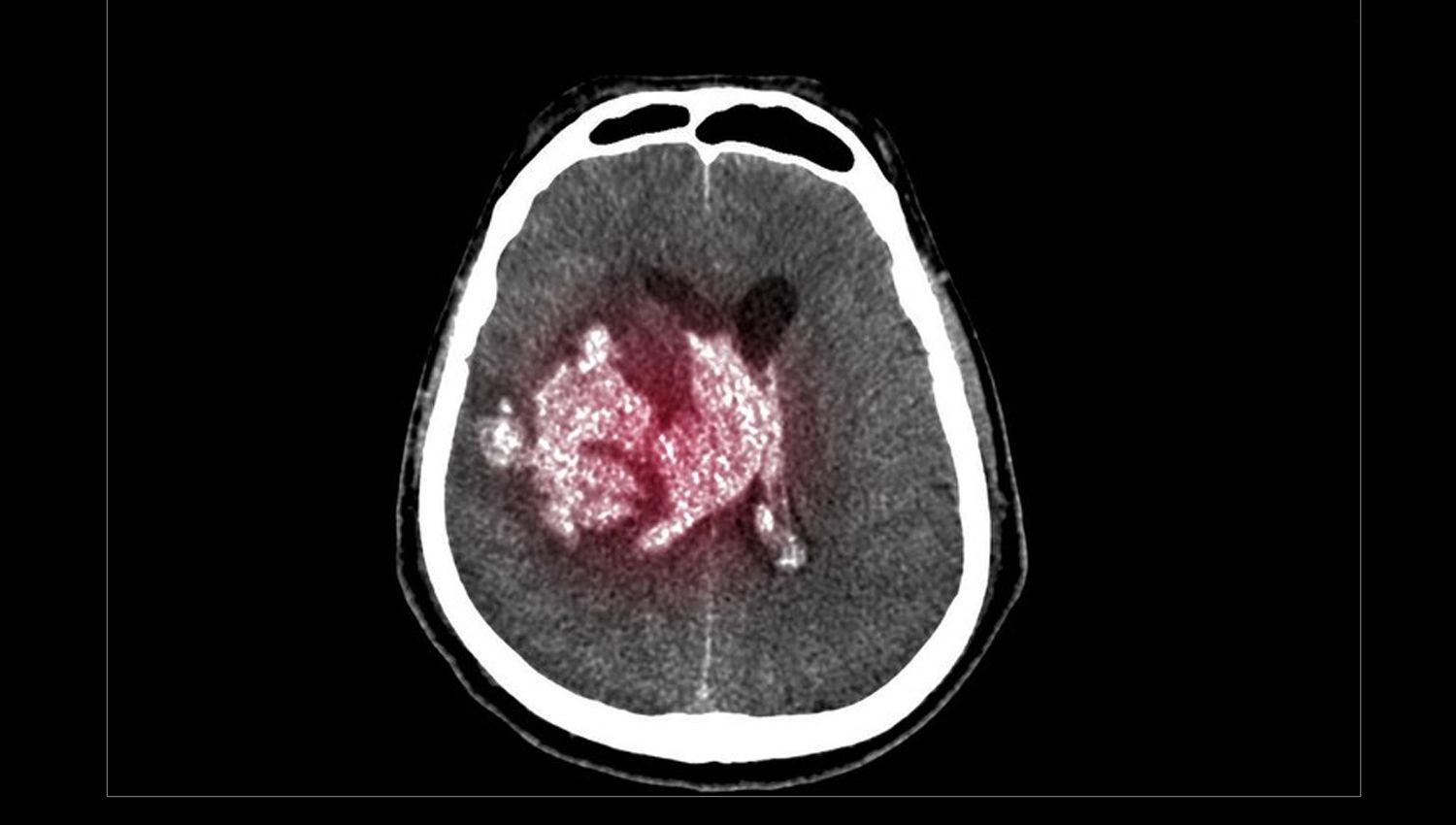
“El hematoma subdural es una acumulación de sangre en el espacio que está entre las dos membranas que cubren el cerebro”, explicó Alejandro Andersson (MN 65.836), neurólogo y director médico del Instituto de Neurología Buenos Aires.
“En general ocurre después de un golpe de traumatismo de cráneo. Por supuesto que hay personas más predispuestas, por ejemplo los que se tratan con medicamentos anticoagulantes”, agregó.
Consultado también por este medio, el médico neurólogo y especialista en enfermedad cerebrovascular Conrado Estol (MN 65005) añadió que “no hay que buscar un traumatismo como causa. Después de los 60 años se trata de un cuadro que puede ocurrir en forma espontánea y se da cuando venas muy pequeñas dentro del cráneo se rompen y lo producen sin ningún estímulo específico”.
Pablo Richly (MN 110.305), médico neurólogo y director de CESAL (Centro de Salud Cerebral), señaló que “lo más importante primero a saber de un hematoma subdural es que el paciente tome conocimiento tempranamente de que existe este cuadro en su cerebro. Y según cuál sea el tamaño del sangrado podrán con distinta intensidad comprimir los tejidos, las meninges del cerebro generando síntomas”.
Agregó que: “El sangrado cerebral podrá ser lento y en otros casos más repetidos que provocarán hematomas crónicos que presionan estas meninges o tejidos irrigados y alojados entre el cerebro y hueso del cráneo. El cuadro puede provocar un hematoma suave, moderado o grave hasta llevar al paciente al coma”.

“El puntapié del cuadro puede haberse generado a partir de un golpe que en un adulto mayor no necesariamente tiene que ser violento, como un choque. Es mucho más habitual de lo que se cree pero muchas veces ocurre esta cronicidad y no se lo detecta a tiempo”, detalló.
“Los síntomas incluyen dolor de cabeza no habitual, náuseas, vómitos y sueño. Uno puede sufrir confusión, lentitud mental y también trastornos del lenguaje y problemas para mover alguna parte del cuerpo”, agregó Andersson. “Se diagnostica con una resonancia magnética o tomografía, y en general se actúa quirúrgicamente haciendo un drenaje. Todo depende del tamaño que tenga, hay pequeños o grandes, y el grado de urgencia depende de cada caso. En algunas situaciones se reabsorben solos, sin intervención quirúrgica”, sostuvo.
Por su lado, Estol advirtió: "Se debe averiguar si la persona está anticoagulada por una arritmia o toma aspirina para prevenir enfermedad cardiovascular, ya que eso lo pone en más riesgo de tener hematoma subdural. Aunque se vean pequeños en una tomografía o resonancia tienen potencial de crecer rápidamente”.
Según Richly, “habrá que controlar y estar atentos a los síntomas que puede provocar un hematoma subdural y que van desde dolores de cabeza agudos, cambio de conducta y desmayos; para luego determinar la conducta de tratamiento: si será la observación del cuadro y acompañar al paciente a que el hematoma se absorba de manera natural o decidir una neurocirugía porque la compresión sobre los tejidos irrigados del cerebro son peligrosas”.
“Las opciones son dos: observar y seguirlo en el tiempo (por tamaño, características del paciente, etc) o bien en otros casos hay que operarlo”, agregó Estol. “La cirugía es relativamente simple porque es fuera del cerebro (el hematoma se presenta entre el cerebro y el cráneo). Si es agudo, esto es, que ocurrió en las últimas 24 horas, se hace una craneotomía y con un aspirador se succiona la sangre líquida; en tanto si es crónico y lleva muchos días y dio síntoma hoy, hay que hacer una craniectomía (incisión más grande) para sacarlo todo”.
Con respecto a la recuperación, Andersson aclaró que también varía de paciente a paciente: “Existen personas que se recuperan en un 100% pero también puede haber algunos casos en los que se presenten secuelas neurológicas como trastornos motores o epilepsia”.








